Services
Dr. Winters provides specialized dental care to children, adolescents, and adults. Our patients come from around the block as well as around the greater New Haven area and shoreline to experience the warm, personal care we provide. There are many dental procedures performed by Dr. Winters. We are pleased to offer the following services and technologies to our patients.
Cleanings & Exams

Composite Fillings
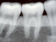
X-Rays
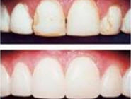
Bondings
Crowns
Post & Core
Root Canals

Bridges

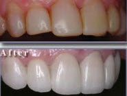
Veneers

Implants

Dentures & Partials

Extractions

Bleachings

Night Guards

Sleep Apnea Appliances

Sports Guards

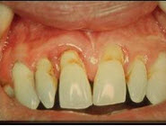
Periodontal Treatments

Arestin Applications



